Tobacco is Legal, but Cannabis Actually Kills and Prevents Lung Cancer

By Alex Pietrowski, Waking Times

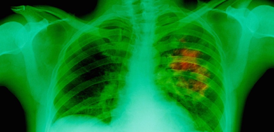
Cannabis kills cancer. However, decades of negative propaganda against this plant medicine still influences the way many people look at it, and it’s often compared to tobacco when considering its effect on human health. There is no doubt tobacco causes lung cancer, as well as many other chronic and deadly illness, yet it is still available everywhere while people are being locked up for using a plant that heals.

Contrary to our previous understanding, it turns out that cannabis can stop and even prevent lung cancer, according to scientists from the American Association of or Cancer Research. In 2007 the association produced a report demonstrating that the psycho-active ingredient in cannabis, Delta-tetrahydrocannabinol (THC), “cuts tumor growth in common lung cancer in half and significantly reduces the ability of the cancer to spread.”

“In the present study, the researchers first demonstrated that two different lung cancer cell lines as well as patient lung tumor samples express CB1 and CB2, and that non-toxic doses of THC inhibited growth and spread in the cell lines. “When the cells are pretreated with THC, they have less EGFR stimulated invasion as measured by various in-vitro assays,” Preet said.” [Source]

This is worth repeating: cannabis can stop lung cancer. Furthermore, Dr. Donald Tashkin, professor emeritus of medicine at UCLA, points out that while tar from cannabis smoke has a higher concentration of cancer-causing materials than tobacco smoke, there seems to be no correlation between inhalation of cannabis smoke into the lungs and the development of lung cancer, which is the opposite for tobacco.

READ: All Smoke Is Not Created Equal – The Difference Between Tobacco and Cannabis

“Although the researchers do not know why THC inhibits tumor growth, they say the substance could be activating molecules that arrest the cell cycle. They speculate that THC may also interfere with angiogenesis and vascularization, which promotes cancer growth.” [Source]

Another important finding regarding the effect of cannabis on pulmonary health is that there appears to be no causal link between smoking cannabis and the onset of chronic obstructive pulmonary disease (COPD), a “collection of lung diseases including chronic bronchitis, emphysema and chronic obstructive airways disease.” COPD is the most common cause of death from tobacco smoke.

“Through my studies, we failed to find any positive association.” Instead, “the association would be negative, between lung cancer and the use of marijuana. The likelihood is, that despite the fact that marijuana smoke contains carcinogens, we don’t see the same heightened risks of cancers that we see in tobacco.” [Source]

Interesting indeed, and perplexing enough to warrant a closer look at the positive effects of other ingredients in cannabis smoke, namely cannibidiol (CBD), a non-psychoactive compound known to have many health benefits.

“”The beauty of this study is that we are showing that a substance of abuse, if used prudently, may offer a new road to therapy against lung cancer,” said Anju Preet, Ph.D., a researcher in the Division of Experimental Medicine.” [Source]

Final Thoughts

Decades of pulmonary research is in: pot decreases the risk of lung cancer and does not cause chronic obstructive pulmonary disease (COPD), and, it is an effective treatment for many types of cancer, including lung cancer. Without question, tobacco smoking is dangerous to lung health and can cause cancer, yet cannabis remains stigmatized by public perception and the law.

Watch what happens when non-toxic THC cells are introduced this video of cancer cells being attacked and consumed

 

Read more articles from Alex Pietrowski.

About the Author

Alex Pietrowski is an artist and writer concerned with preserving good health and the basic freedom to enjoy a healthy lifestyle. He is a staff writer for WakingTimes.com and Offgrid Outpost, a provider of storable food and emergency kits. Alex is an avid student of Yoga and life.

**Sources embedded throughout article. Image Source: https://thebluereview.org/food-waste-poverty-and-the-ugly-food-movement/

Like Waking Times on Facebook. Follow Waking Times on Twitter.

This article (Tobacco is Legal, but Cannabis Actually Kills and Prevents Lung Cancer) was originally created and published by Waking Times and is published here under a Creative Commons license with attribution to Alex Pietrowski and WakingTimes.com. It may be re-posted freely with proper attribution, author bio, and this copyright statement. Please contact WakingTimes@gmail.com for more info. 

Share your thoughts

This site uses Akismet to reduce spam. Learn how your comment data is processed.